Rope Safety Test–Failed

Rope Safety Test – Failed

September 26, 2011

The kids wanted to play outside in the nice fall weather. They wandered off to the pasture where Stewart had attempted to build a tree house a few months ago. He abandoned the idea when a storm came through and messed up the frame work. Adam had a bright idea to tie two loops on a rope and pull himself up with it to sit on the board. From what I can understand you was suppose to do this with two people one holding and pulling and the other with their foot in the loop being pulled up.

003

Anna being the big sister felt the need to test the rope before letting Adam on it. She put her foot in the loop and grabbed the other loop with her hand trying to balance her weight on it.

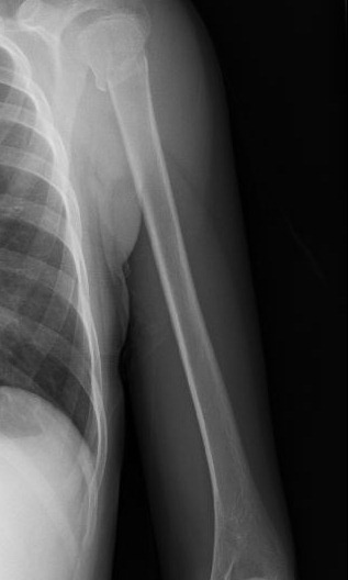
The test failed and Anna fell. When she landed, her left arm hit the 2×6 that was on the ground below.

001

Thankfully she made sure the board was flipped nail side down before they started or the outcome could have been much worse.

Adam being the loving kid he is, tried to help Anna up, but Anna strongly protested his assistance! She managed to get up and come in the house after a quick look over her arm, and not seeing any outward injuries, I decided we needed to take her in for x-rays.

We headed to Urgent Doc thinking it would be faster than the E.R. They were all very careful and kind to her so I was very grateful. She got a couple x-rays and the doc came in telling us it was fractured in two places and a possible dislocated shoulder and it may require surgery. I was totally shocked at this point. “Surgery?? For a broke arm??” I said in my mind, “No! God I do not accept this man’s diagnosis! YOU are the great physician and YOU made this little body of Anna’s and YOU can fix it without surgery!” And that is just how I prayed! I started posting on Facebook and calling family to get a prayer chain started as we drove from Urgent Doc to Woodland Heights E.R. where the orthopedic doctor was on call.

anna arm

After a quick look at the x-rays the doctor came in and said that she only had one fracture up by the shoulder and no surgery was necessary! “Thank you Lord!” , I praised! He said these kinds of breaks heal just fine 90% of the time without surgery as long as she takes it easy. I told him, “I have full faith that it will heal and not need surgery!” Again, all the medical staff were super sweet to my baby girl.

086

Because of where the break was they could not put a cast on it, which disappointed her because she remembered some friends having a neon green cast and everyone signing it. All she got was a sling and a big ace bandaged so she will have to be very careful for a few weeks not to bump her arm.

087

As we were getting ready to leave I noticed that we were in room seven. To me that was a sign showing me GOD was indeed with us because seven is the number of completion (Gen_2:3).  I am fully convinced that GOD changed the outcome as we went from Urgent Doc to Woodlands. I believe that GOD can do all things and I believe HE gave us a miracle by decreasing the severity of her injury. I may not ever know why she had to have a broken arm but I trust all things are in God’s control and we know that all things work together for good to them that love God, to them who are the called according to his purpose. (Rom. 8:28) If nothing else it may have happened to help us believe in miracles!

005

It probably will be a rough few days getting used to dealing with limited ability.

006

But she is learning to improvise when she can, like twisting out the crayons with her mouth!

Daddy had to buy her a new coloring book so she would have something to do while she was recovering.

008

Medicated…

Her daddy bought her a little stuffed puppy for being so brave. She never cried through all of this. The only time she teared up a little was when they told us she may need surgery, but I was tearing up as well. She is so strong and brave.

009

She wrapped her puppy’s arm so it was like her. Sad smile

I am very proud of my baby girl and so very thankful to my GOD!

 

Unknown's avatar

About Becky McGee-Husband

Becky is a Hebraic Christian homeschool mom blogger that lives on a small farm in Deep East Texas. When she isn't homeschooling her kids, she is busy documenting her family's life on her blog. In her blog, she writes about her faith, family, homeschooling, and homesteading. She also shares the family's abundance of hobbies such as geocaching, hiking, biking, birding, nature photography, and most recently her art! She is always eager to answer any questions others may have so feel free to leave comments and inquiries!

Posted on September 27, 2011, in Faith. Bookmark the permalink. 1 Comment.

Leave a comment